*Certain restrictions apply. *Certain restrictions apply; eligibility not based on income.

Treat plaque psoriasis differently

Treat psoriatic arthritis differently

FOR US AUDIENCES ONLY
SEE MORE

*Certain restrictions apply. *Certain restrictions apply; eligibility not based on income.

Approved Uses

Otezla® (apremilast) is a prescription medicine approved for the treatment of patients with moderate to severe plaque psoriasis for whom phototherapy or systemic therapy is appropriate.

Otezla is a prescription medicine approved for the treatment of adult patients with active psoriatic arthritis.

Important Safety Information

You must not take Otezla® (apremilast) if you are allergic to apremilast or to any of the ingredients in Otezla.

Otezla is associated with an increase in adverse reactions of depression. In clinical studies, some patients reported depression and suicidal behavior while taking Otezla. Some patients stopped taking Otezla due to depression. Before starting Otezla, tell your doctor if you have had feelings of depression, suicidal thoughts, or suicidal behavior. Be sure to tell your doctor if any of these symptoms or other mood changes develop or worsen during treatment with Otezla.

Some patients taking Otezla lost body weight. Your doctor should monitor your weight regularly. If unexplained or significant weight loss occurs, your doctor will decide if you should continue taking Otezla.

Some medicines may make Otezla less effective, and should not be taken with Otezla. Tell your doctor about all the medicines you take, including prescription and nonprescription medicines.

Side effects of Otezla in psoriasis clinical studies were diarrhea, nausea, upper respiratory tract infection, tension headache, and headache.

Side effects of Otezla in psoriatic arthritis clinical studies were diarrhea, nausea, and headache.

These are not all the possible side effects with Otezla. Ask your doctor about other potential side effects. Tell your doctor about any side effect that bothers you or does not go away.

Tell your doctor if you are pregnant, planning to become pregnant, or planning to breastfeed. Otezla has not been studied in pregnant women or in women who are breastfeeding.

You are encouraged to report negative side effects of prescription drugs to the FDA. Visit www.fda.gov/medwatch, or call 1-800-332-1088. 1-800-332-1088.

Please click here for Full Prescribing Information.

Otezla treats plaque psoriasis differently

A pill you take once in the morning and once at night

  • Not a biologic, an injection, or a cream
  • The #1 branded pill for moderate to severe plaque psoriasis
  • Works inside the body to help reduce inflammation
  • Otezla helps improve plaque psoriasis symptoms in commonly affected areas like the elbows, knees, lower back, and scalp
  • The Otezla Prescribing Information has no requirement for ongoing lab monitoring or initial lab testing
  • Also approved for the treatment of adults with active psoriatic arthritis

For your first day, you only take one pill.

Source: Symphony Health Solutions PrescriberSource Patient Focus data, Celgene proprietary methodology. Jan2015–Feb2016. Data includes only oral formulations for scripts tagged with a plaque psoriasis indication.

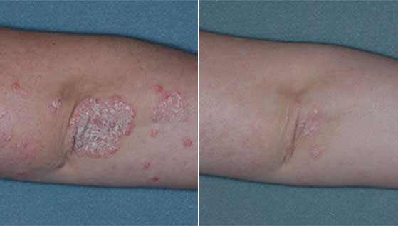
Clinical study results at 4 months

Studies showed 75% clearer skin after just 4 months was achieved by some patients on Otezla with improvement in areas like the elbows, knees, and scalp. These patients saw a reduction in redness, thickness, and scaliness of their plaques.

clinical studies show great benefits of Otezla treatment on scalp psoriasis, otezla before and after
clinical studies show great benefits of Otezla treatment on ear psoriasis, otezla before and after
clinical studies show great benefits of Otezla treatment on back affected by psoriasis, otezla before and after
clinical studies show great benefits of Otezla treatment on elbows affected by psoriasis, otezla before and after
clinical studies show great benefits of Otezla treatment on legs affected by psoriasis, otezla before and after
clinical studies show great benefits of Otezla treatment on hand psoriasis, otezla before and after

Before Otezla

With Otezla at 16 weeks

SCALP
EAR
BACK
ELBOW
LEGS
HAND

Actual Otezla patients. Not everyone responds to Otezla. Those who do respond may respond differently.

Watch real stories from people taking Otezla for plaque psoriasis

Side Effects in Clinical Studies

The most common side effects of Otezla were diarrhea, nausea, upper respiratory tract infection, tension headache, and headache.

The majority of patients reporting nausea and diarrhea did so within the first 2 weeks of treatment, and these side effects tended to resolve over time without stopping Otezla.

Otezla is a different kind of treatment Close

Approved Uses

Otezla® (apremilast) is a prescription medicine approved for the treatment of patients with moderate to severe plaque psoriasis for whom phototherapy or systemic therapy is appropriate.

Otezla is a prescription medicine approved for the treatment of adult patients with active psoriatic arthritis.

SEE MORE

More from Otezla:

*Certain restrictions apply. *Certain restrictions apply; eligibility not based on income.

Approved Uses

Otezla® (apremilast) is a prescription medicine approved for the treatment of patients with moderate to severe plaque psoriasis for whom phototherapy or systemic therapy is appropriate.

Otezla is a prescription medicine approved for the treatment of adult patients with active psoriatic arthritis.

Important Safety Information

You must not take Otezla® (apremilast) if you are allergic to apremilast or to any of the ingredients in Otezla.

Otezla is associated with an increase in adverse reactions of depression. In clinical studies, some patients reported depression and suicidal behavior while taking Otezla. Some patients stopped taking Otezla due to depression. Before starting Otezla, tell your doctor if you have had feelings of depression, suicidal thoughts, or suicidal behavior. Be sure to tell your doctor if any of these symptoms or other mood changes develop or worsen during treatment with Otezla.

Some patients taking Otezla lost body weight. Your doctor should monitor your weight regularly. If unexplained or significant weight loss occurs, your doctor will decide if you should continue taking Otezla.

Some medicines may make Otezla less effective, and should not be taken with Otezla. Tell your doctor about all the medicines you take, including prescription and nonprescription medicines.

Side effects of Otezla in psoriasis clinical studies were diarrhea, nausea, upper respiratory tract infection, tension headache, and headache.

Side effects of Otezla in psoriatic arthritis clinical studies were diarrhea, nausea, and headache.

These are not all the possible side effects with Otezla. Ask your doctor about other potential side effects. Tell your doctor about any side effect that bothers you or does not go away.

Tell your doctor if you are pregnant, planning to become pregnant, or planning to breastfeed. Otezla has not been studied in pregnant women or in women who are breastfeeding.

You are encouraged to report negative side effects of prescription drugs to the FDA. Visit www.fda.gov/medwatch, or call 1-800-332-1088. 1-800-332-1088.

Please click here for Full Prescribing Information.

Important Safety Information

See more

You must not take Otezla® (apremilast) if you are allergic to apremilast or to any of the ingredients in Otezla.

Otezla is associated with an increase in adverse reactions of depression. In clinical studies, some patients reported depression and suicidal behavior while taking Otezla. Some patients stopped taking Otezla due to depression. Before starting Otezla, tell your doctor if you have had feelings of depression, suicidal thoughts, or suicidal behavior. Be sure to tell your doctor if any of these symptoms or other mood changes develop or worsen during treatment with Otezla.

You are now leaving otezla.com

The content of the linked site is the sole responsibility of the site provider. Celgene Corporation does not control or endorse this third-party website.

Click "OK" to proceed or "CANCEL" to return to otezla.com.